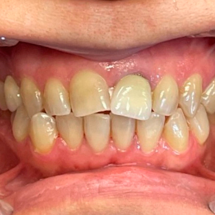
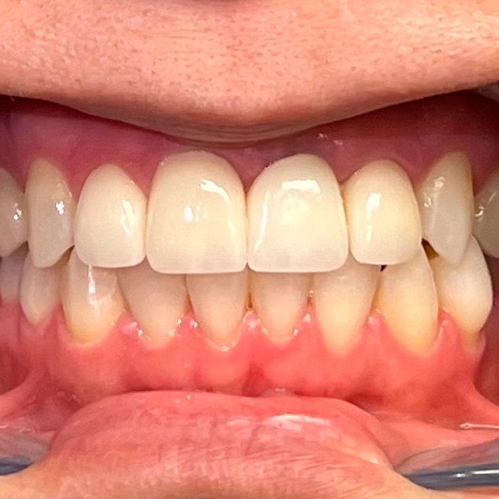
General dentistry focuses on the prevention, diagnosis, and treatment of common dental issues. It is the foundation of long-term oral health and plays a vital role in protecting your teeth, gums, and overall well-being. At Sky Dental Care, our goal is to provide a wide range of general dentistry services in a comfortable and welcoming environment.
Our General Dentistry Services
We offer a full suite of general dental services designed to meet the needs of every member of your family:
Comprehensive Dental Exams & Cleanings: Regular check-ups and professional cleanings help prevent cavities, gum disease, and other dental problems.
Digital X-Rays: Safe and modern imaging allows us to detect issues early for more effective treatment.
Fillings & Restorations: We use tooth-colored materials to restore function and appearance while preserving your natural tooth structure.
Gum Disease Treatment: Early detection and treatment of periodontal disease to protect your oral and overall health.
Root Canal Therapy: Gentle, effective treatment to save infected or damaged teeth.
Tooth Extractions: When necessary, we perform extractions with comfort and care.
Pediatric Dentistry: Friendly and compassionate care for children to encourage healthy habits from the start.
At Sky Dental Care, we understand that visiting the dentist can feel overwhelming for some patients. That’s why our team is dedicated to creating a relaxed, patient-focused experience. Using advanced technology and modern techniques, we ensure every treatment is precise, effective, and minimally invasive.
Our dentists, Dr. Hacikian and Dr. Bostanci, bring years of expertise in general dentistry and a passion for helping patients achieve lasting oral health. We take the time to educate you about your dental needs, empowering you to make informed decisions about your care.


As a trusted provider of general dentistry in Forest Hills, NY, Sky Dental Care is conveniently located and easily accessible for families across Queens and surrounding areas. We proudly serve patients of all ages and tailor our treatments to meet each individual’s unique needs.
Book your family’s next dental visit today and experience the Sky Dental Care difference.
Your oral health is our priority. Whether you need a routine cleaning, treatment for a dental concern, or a trusted family dentist in Forest Hills, Sky Dental Care is here to help.
Call us today to schedule your next appointment and experience compassionate, comprehensive general dentistry in Forest Hills, New York.