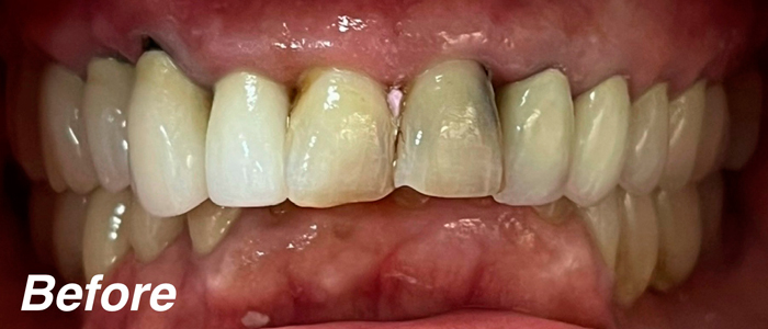
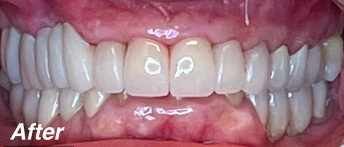
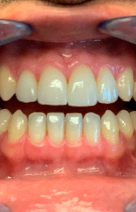
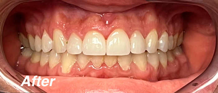
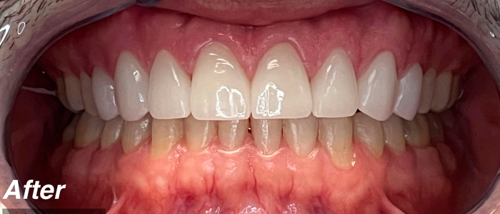
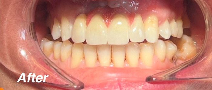
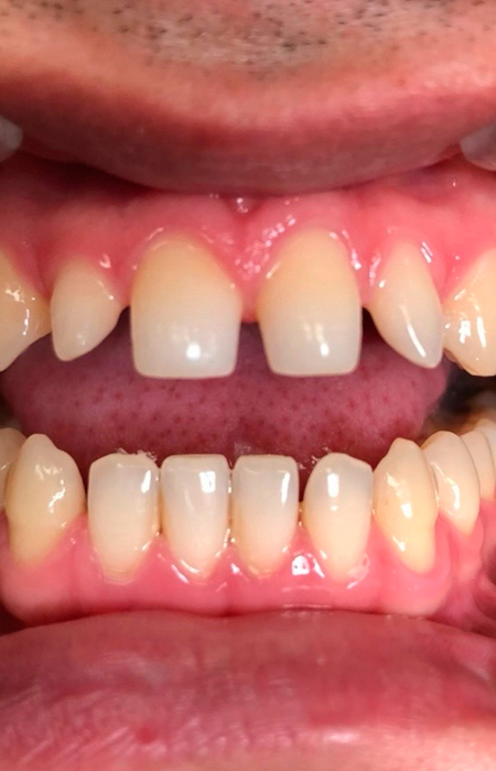
Gallery Transformations

Below are just a few examples of how patients who visited our office have benefited from treatments with Dr. Hacikian and Dr. Bostanci. These transformations reflect improvements in both function and aesthetics, helping to restore confidence, comfort, and a radiant smile.

Sky Dental Care Forest Hills New York Before-After-01
Sky Dental Care Forest Hills New York Before-After-02
Sky Dental Care Forest Hills New York Before-After-03
Sky Dental Care

At Sky Dental Care, we understand that dental visits can sometimes feel overwhelming. That’s why we focus on providing gentle, patient-centered care designed to put you at ease. Our team takes the time to listen to your concerns, answer your questions, and create customized treatment plans tailored to your unique needs and goals.

Your Smile, Our Priority

At Sky Dental Care, your smile is at the heart of everything we do. We are honored to be part of the Forest Hills community and are committed to helping our patients achieve optimal oral health and confidence in their smiles.

Social Networks

Visit Sky Dental Care on these social links and connect with us. Make sure to follow our accounts for regular updates.

Copyright 2026 by Sky Dental Care. All rights reserved.

Copyright 2025 by Sky Dental Care. All rights reserved.