Dental Bonding in Forest Hills, NY
Sky Dental Care

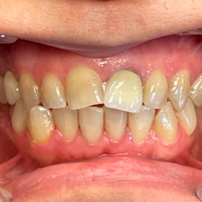
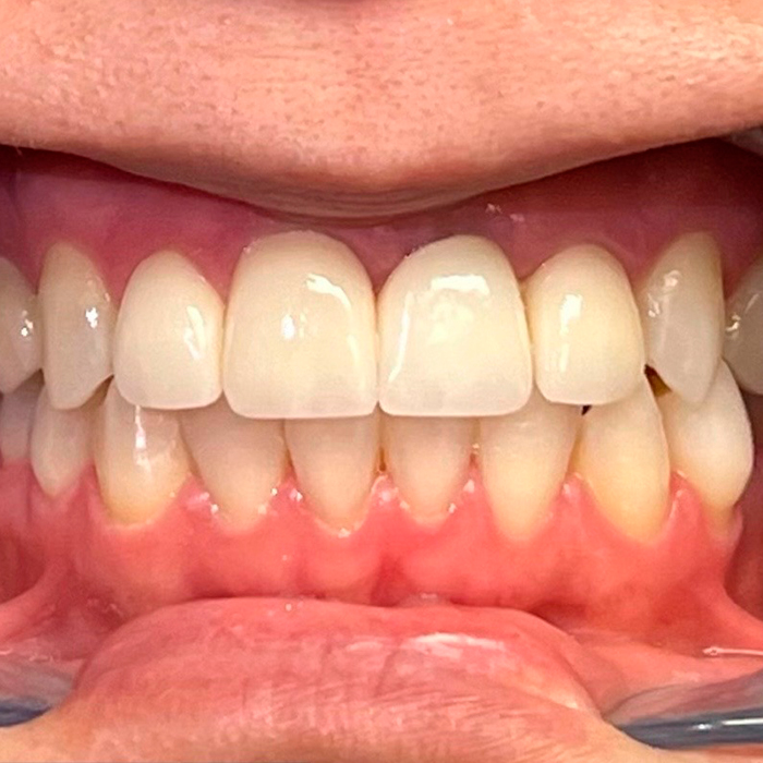
At Sky Dental Care in Forest Hills, New York, we believe every patient deserves a smile they can feel confident about. One of the most affordable and effective cosmetic treatments we offer is dental bonding. Whether you have chipped, discolored, or uneven teeth, dental bonding provides a quick and natural-looking solution to restore your smile.

If you are unhappy with chipped, stained, or uneven teeth, dental bonding at Sky Dental Care in Forest Hills, NY can give you the beautiful smile you deserve.

This affordable and minimally invasive treatment provides fast results and a natural appearance.

What Exactly Is
Dental Bonding?

Dental bonding is a cosmetic dentistry procedure where a tooth-colored resin material is applied to the teeth, sculpted into shape, hardened with a special curing light, and polished for a natural finish. Unlike veneers or crowns, bonding requires minimal tooth preparation, making it a more conservative and cost-effective option.

At Sky Dental Care, Dr. Hacikian and Dr. Bostanci specialize in creating beautiful results that blend seamlessly with your natural teeth, so no one can tell where the bonding begins or ends.

Benefits of Dental Bonding

Patients choose dental bonding in Forest Hills, NY because it offers many advantages:

  • Improves Appearance Quickly – Most bonding treatments are completed in just one visit.
  • Corrects Multiple Concerns – Ideal for fixing chips, cracks, gaps, discoloration, and misshapen teeth.
  • Minimally Invasive – Little to no enamel removal is required.
  • Affordable Cosmetic Solution – Less expensive than porcelain veneers or crowns.
  • Natural-Looking Results – The composite resin is color-matched to your surrounding teeth.

 

Common Issues Dental Bonding Can Fix

Dental bonding is a versatile treatment used to address:

  • Chipped or cracked teeth
  • Gaps between teeth
  • Stains or discoloration that don’t respond to whitening
  • Teeth that appear too short or uneven
  • Minor misalignment or irregular shapes

If you’re looking for a simple and effective way to enhance your smile, dental bonding may be the right choice.

The Dental Bonding Process

At Sky Dental Care in Forest Hills, the bonding procedure is comfortable and straightforward:

Consultation – Our dentists will examine your teeth and discuss your smile goals.

Color Matching – A resin shade is selected to match your natural tooth color.
Tooth Preparation – The surface of the tooth is gently etched, and a conditioning liquid is applied for better bonding.
Bonding Application – The resin material is carefully shaped and sculpted.
Curing – A special light hardens the resin.
Polishing – Final adjustments are made to ensure a smooth, natural appearance.

Most bonding treatments take 30 to 60 minutes per tooth, depending on the complexity.

Caring for Your Bonded Teeth

  • With proper care, dental bonding can last 5–10 years. To extend the lifespan of your bonding:
  • Maintain good oral hygiene with daily brushing and flossing.
  • Avoid chewing on hard objects like ice or pens.
  • Limit staining foods and drinks (coffee, tea, red wine).
  • Wear a nightguard if you grind your teeth.
  • Schedule regular cleanings and checkups at Sky Dental Care.

Why Choose Sky Dental Care for Dental Bonding in Forest Hills, NY?

At Sky Dental Care, our goal is to provide high-quality, personalized dental care in a welcoming environment. Dr. Hacikian and Dr. Bostanci have years of experience in cosmetic dentistry, using the latest techniques and materials to ensure long-lasting, beautiful results.

We are proud to serve patients from Forest Hills, Rego Park, Queens, and beyond. Our office combines advanced technology with compassionate care, so you can feel confident your smile is in the best hands.

Get In Touch With Us

Call us anytime
(718) 793-0017
Email us
ContactUs@skydentalcaresny.com

Book An Appointment

Book your family’s next dental visit today and experience the Sky Dental Care difference.

    https://skydentalcaresny.com/wp-content/uploads/2025/08/pict-03.jpg

    Restorative Dentistry

    At Sky Dental Care, we understand the importance of having a healthy, complete, and confident smile.

    Sky Dental Care Implants and Dentures in Forest Hills New York

    Dental Implants

    At Sky Dental Care in Forest Hills, NY, we understand that missing teeth can impact more than just your smile.

    https://skydentalcaresny.com/wp-content/uploads/2025/08/Slider-03.jpg

    Dental Whitening

    At Sky Dental Care, we combine advanced technology with personalized care to deliver the best cosmetic dentistry solutions.

    https://skydentalcaresny.com/wp-content/uploads/2025/08/Slider-06-1.jpg

    General Dentistry

    At Sky Dental Care, we believe that a healthy smile begins with exceptional general dentistry.

    Contact Sky Dental Care

    Call Sky Dental Care today to schedule your consultation with Dr. Hacikian or Dr. Bostanci and discover how dental bonding can transform your smile.

    Emergency Phone
    (718) 793-0017
    Call us Anytime 24/7
    Address
    72-11 110th Street
    Forest Hills, New York 11375
    Book By Phone
    (718) 793-0017
    Email Us
    ContactUs@skydentalcaresny.com
    Sky Dental Care

    At Sky Dental Care, we understand that dental visits can sometimes feel overwhelming. That’s why we focus on providing gentle, patient-centered care designed to put you at ease. Our team takes the time to listen to your concerns, answer your questions, and create customized treatment plans tailored to your unique needs and goals.

    Your Smile, Our Priority

    At Sky Dental Care, your smile is at the heart of everything we do. We are honored to be part of the Forest Hills community and are committed to helping our patients achieve optimal oral health and confidence in their smiles.

    Social Networks

    Visit Sky Dental Care on these social links and connect with us. Make sure to follow our accounts for regular updates.

    Copyright 2025 by Sky Dental Care. All rights reserved.

    Copyright 2025 by Sky Dental Care. All rights reserved.